Dental Implants
Discover how dental implants can help to seamlessly replace one or more missing or damaged teeth.
Smile Gallery
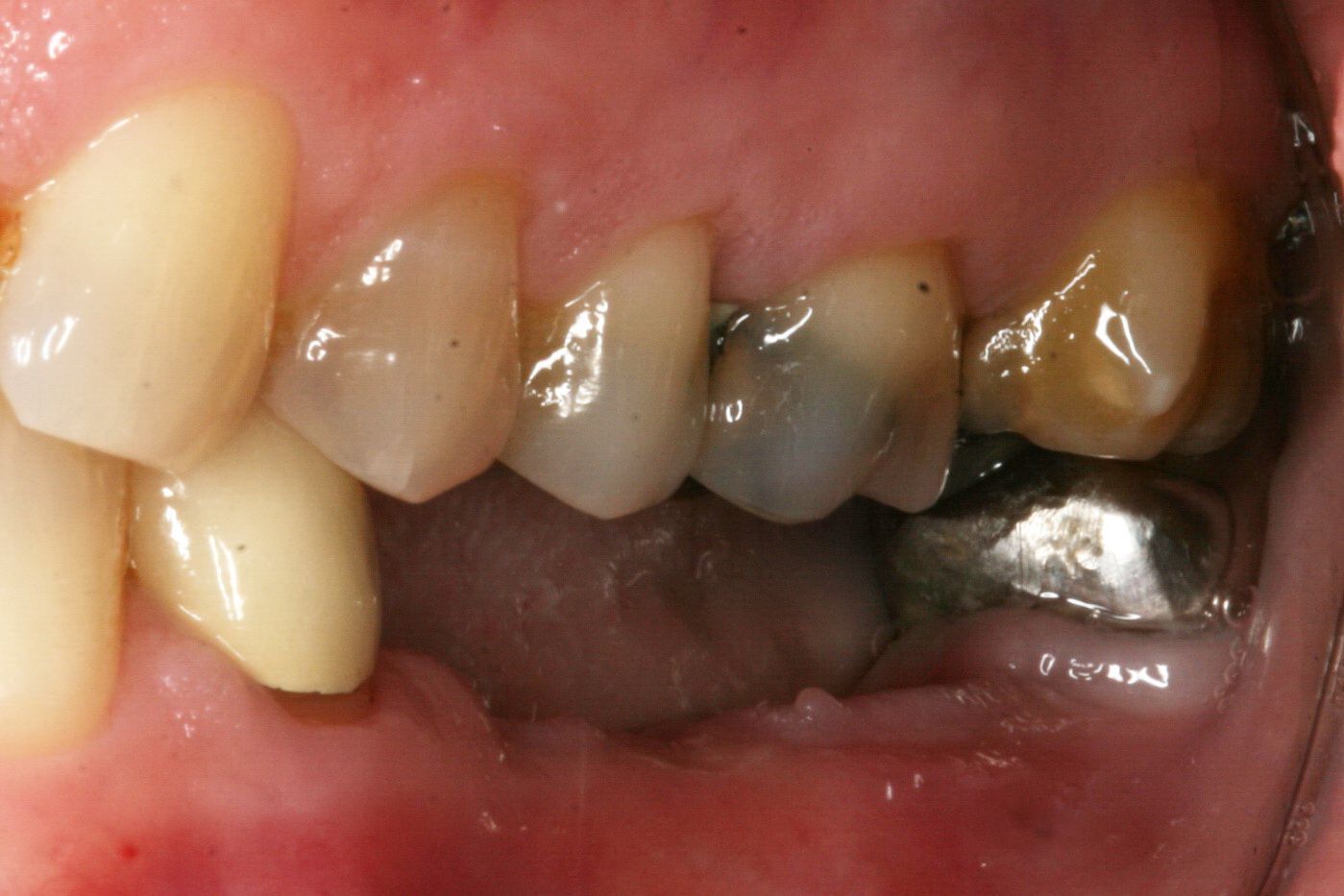
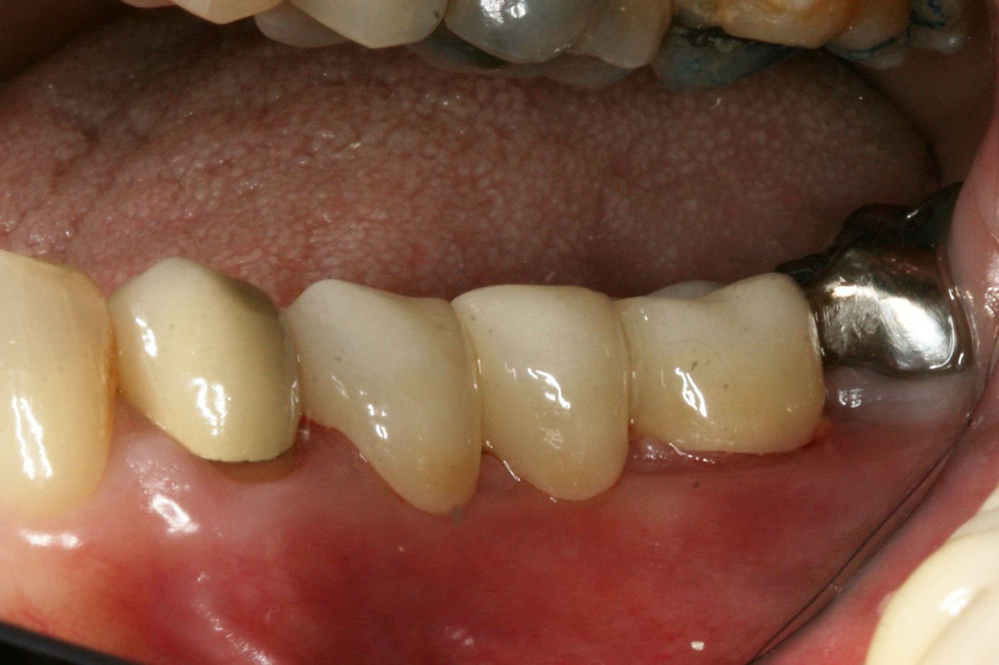
Failing Root Canal Fixed With a Bridge
This patient presented with failing root canals on lower left. Teeth were removed, bone grafted and implants placed. Three months later an esthetic and strong 3 unit implant bridge placed to restore confidence and chewing ability. This will protect the patients chewing ability for the long term.
Broken Teeth Fixed With Bridges
This patient presented with gum disease and broken infected teeth. She wanted an upper denture but discovered her gag reflex would not allow her to wear an upper denture. She decided to have implant supported All on X Bridges. Teeth were removed, implants placed and bridges delivered the next day. She got the brilliant white smile she always wanted.
Broken and Infected Smile Fixed in One Day
This patient presented with an old and stained upper denture, and broken and infected lower teeth. He reported having pain and chewing difficulty every day. He wanted to date and get married. On the same day, we removed all the lower teeth and placed implants on the upper and lower jaw, scanned and milled and delivered these beautiful fixed implant bridges. He now eats normally and smiles with confidence.
Fixing a Discolored, Decaying Smile
An accident left this patient with a front tooth that had not only become discolored, but also started dissolving at the root. Since the root was beyond repair, we extracted the tooth and placed a single tooth implant. We capped the implant with a crown and placed veneers on his front teeth to give him back the smile that he once had. A few months of Invisalign® treatment also helped straighten his lower teeth.



