Porcelain Veneers & Dental Bonding
Discover quick, simple, and easy methods of restoring and beautifying your smile with veneers and bonding.
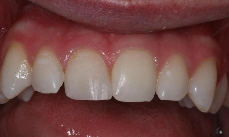
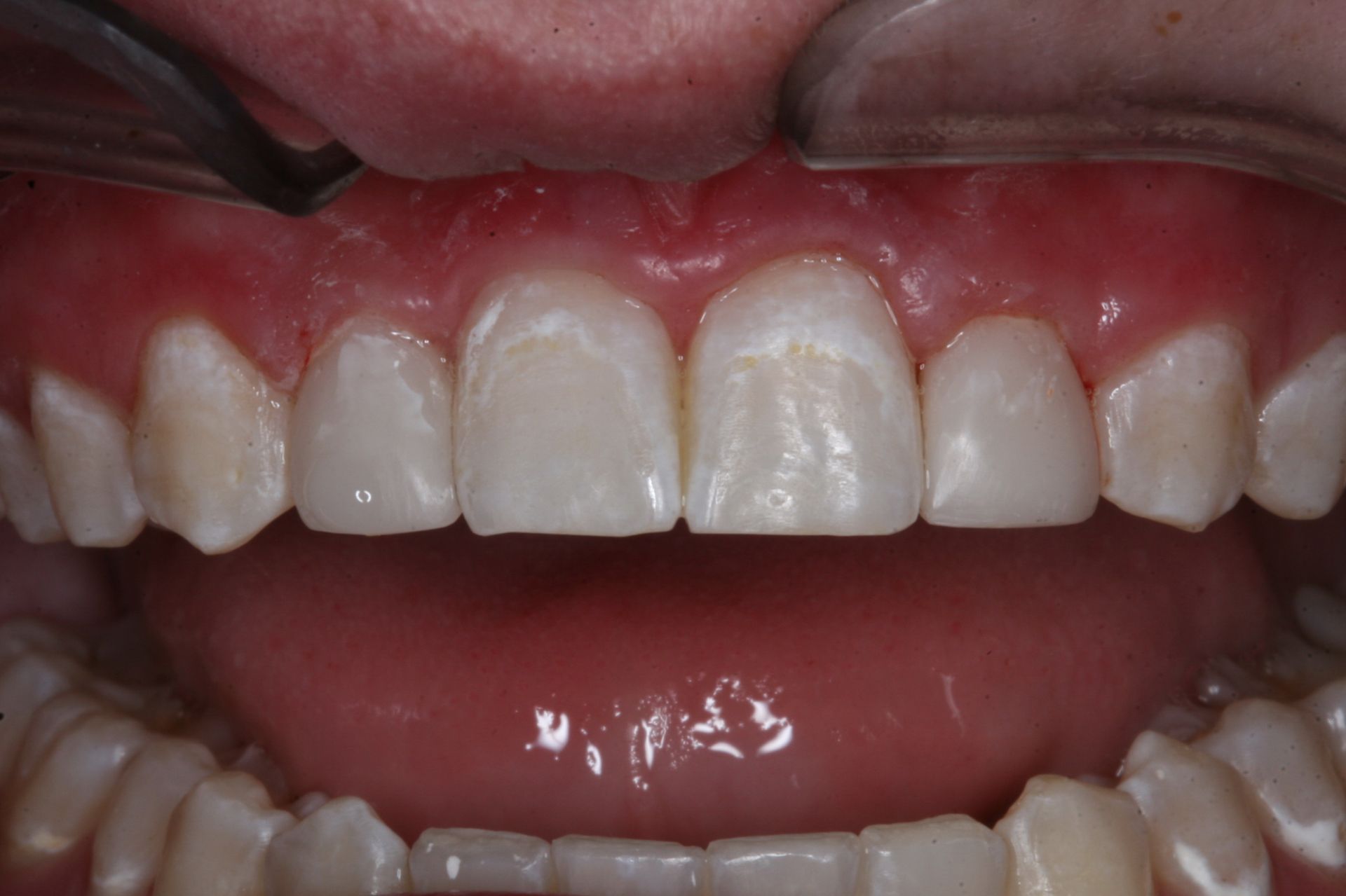
Notched Teeth Caused By Erosion
This patient was complaining of sensitivity to cold and notches in her teeth that showed when she smiled and collected food when she ate. Conservative resin bonding was matched to her tooth shade to add back the missing tooth structure and protects against future tooth erosion.
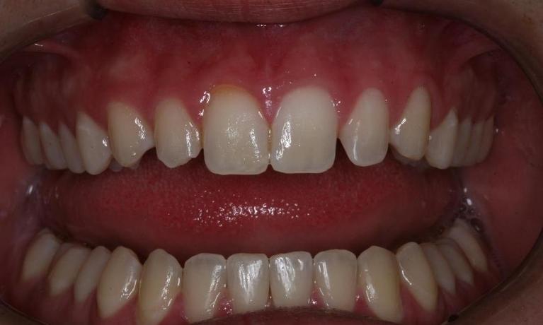
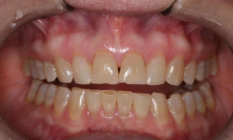
Extreme Wear Case
This patient would grind their teeth and was seeing the effects of doing so. We repaired their smile by placing zirconia veneers on the upper teeth and added Bioclear dental composite to the lower teeth to even out the difference in lengths. The patient is able to now smile with confidence and we are happy with the results.
Using Veneers to Give a More Even Smile
This patient was born with no lateral incisors (the second teeth from the middle), which made his larger teeth fall forward, giving a less balanced look to his smile. After a round of orthodontics to close gaps, we placed veneers over the canine teeth, giving them the look of incisor teeth and the bicuspids the look of canines. Once we finished with the veneers, we whitened his teeth for an overall brighter look. You can see in the after photos that there is a more even, "normal" appearance to his smile now!
Full Mouth Makeover Gives Perfect Smile
This patient was experiencing several problems and needed a few procedures to achieve the smile she wanted. Years of drinking teeth-staining liquids like coffee, tea, and wine had left her teeth discolored, while crowding had left her teeth chipped and worn. We started with Invisalign® to give more space to over overcrowded smile. Then, we added a few no-metal crowns and veneers to give a more even, youthful appearance to her front teeth. Finally, we whitened the rest of her smile to match. The final result, as you can see, is a smile that really pops!
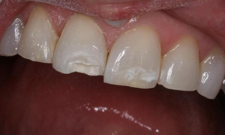
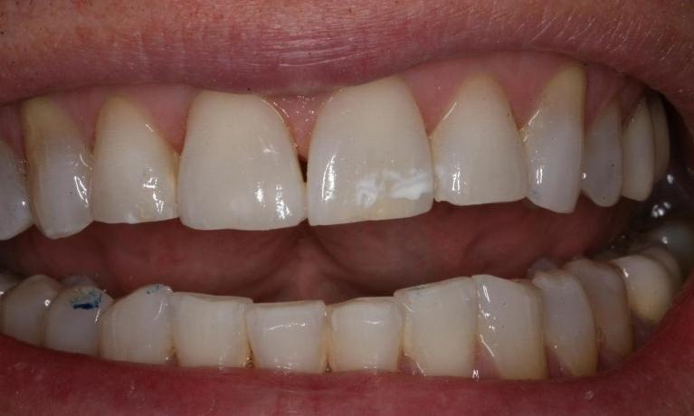
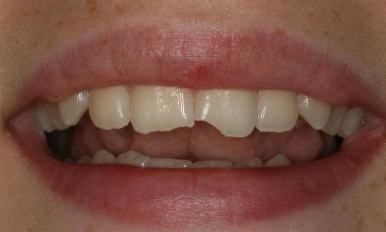
Repairing a Chipped Tooth
This patient fell and chipped her front tooth. Because the fracture was so small and the overall health of the rest of the tooth, we were able to fix it with simple dental bonding and without the use of shots! First, we matched the color of her tooth to the composite resin material. Then we applied it to the chipped area, shaped it to match, polished it, and 1 hour later, she was back to work! She was a very happy patient and we are happy with the results.
Correcting Chipped, Discolored Tooth
This patient had an old discolored filling that we removed, showing stains and discoloration on his natural tooth. We used composite resin bonding, in several layers with multiple colors, to block out the stains and create a more attractive appearance. The result was fast and affordable. Down the road, this patient could elect to have his other front tooth corrected to match!
Correcting Short Incisor Teeth
Did you know that a common genetic trait in people of Northern European descent is lateral incisors that are too small? These "peg laterals" can be corrected with composite resin in a single dental appointment. You can see the difference this durable, aesthetic transformation made for this patient!
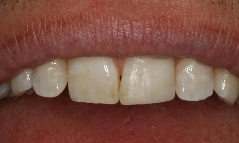
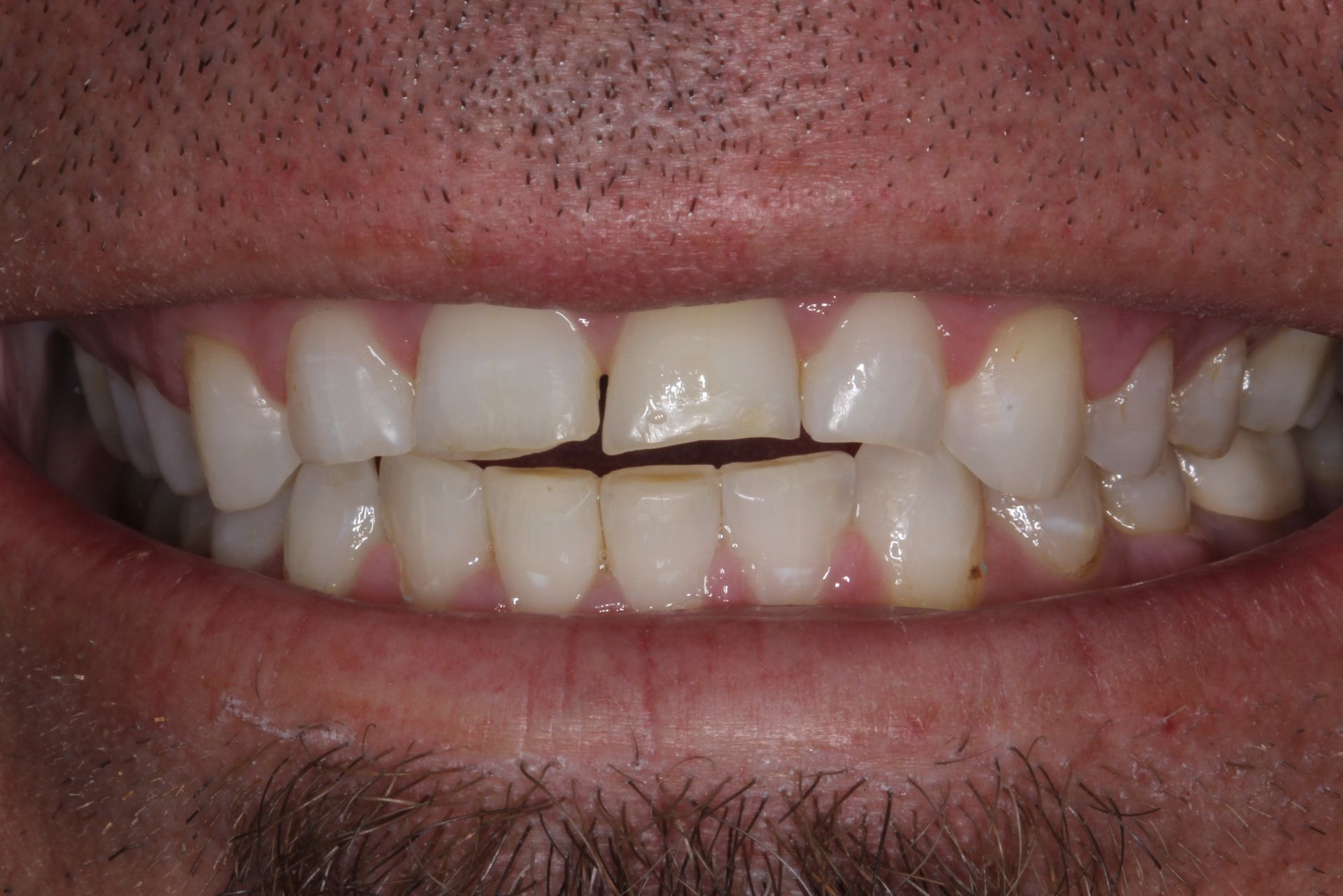
Fixing Chipped Two Front Teeth
This patient chipped both of her front teeth in a boating accident. Dr. Cantwell used composite resin to layer on multiple layers of colors to create a natural, seamless repair that should last for years. Such a simple, affordable fix to give this patient her smile back!
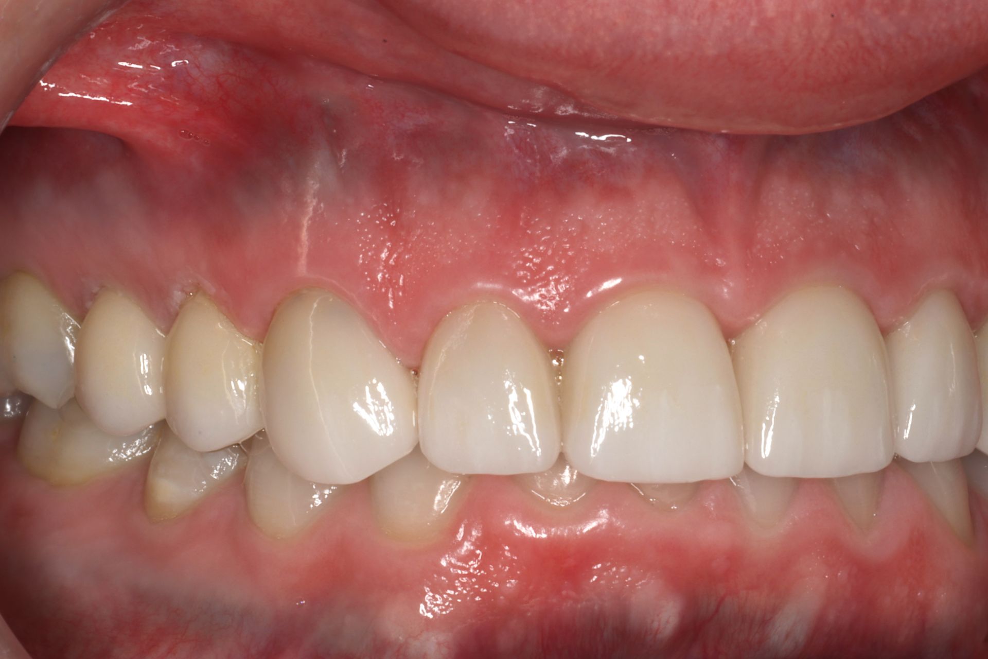
Fixing Worn Down Teeth from Grinding
This patient was unhappy with the ground-down edges of their teeth due to years of grinding. We started the treatment by cleaning the teeth and then applying a natural looking composite resin along the edges, creating a repair that adds to the tooth structure without having to cut the tooth down any further. You can see what a difference it made!
Repairing Short Teeth with Veneers and Crowns
Aggressive wear made this patient hate the appearance of her teeth. We worked together to find a treatment plan that would give her a natural-looking, beautiful smile. After she completed a course of Invisalign®, we whitened her teeth and combined that with 6 veneers and 12 crowns. The after photo speaks for itself!



















