Teeth Whitening
Smile with confidence when you have bright, white teeth! See the difference that professional teeth whitening can make for your smile.
Smile Gallery
Using Veneers to Give More Even Smile
This patient was born with no lateral incisors (the second teeth from the middle), which made his larger teeth fall forward, giving a less balanced look to his smile. After a round of orthodontics to close gaps, we placed veneers over the canine teeth, giving them the look of incisor teeth and the bicuspids the look of canines. Once we finished with the veneers, we whitened his teeth for an overall brighter look. You can see in the after photos that there is a more even, "normal" appearance to his smile now!
Full Mouth Makeover Gives Perfect Smile
This patient was experiencing several problems and needed a few procedures to achieve the smile she wanted. Years of drinking teeth-staining liquids like coffee, tea, and wine had left her teeth discolored, while crowding had left her teeth chipped and worn. We started with Invisalign® to give more space to over overcrowded smile. Then, we added a few no-metal crowns and veneers to give a more even, youthful appearance to her front teeth. Finally, we whitened the rest of her smile to match. The final result, as you can see, is a smile that really pops!
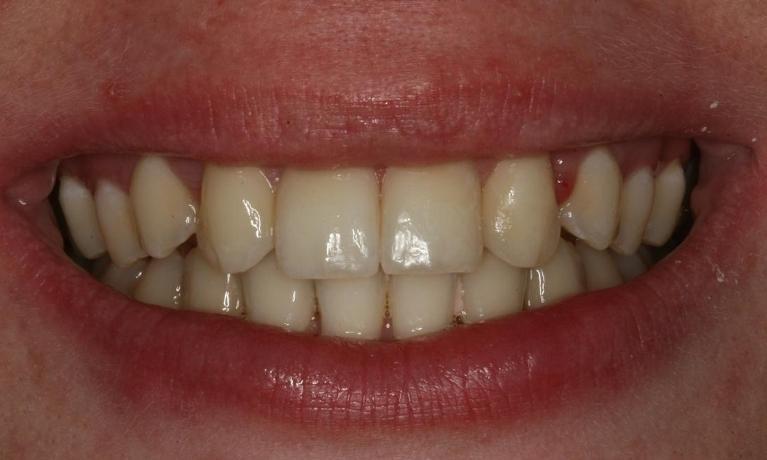
Repairing Short Teeth
Aggressive wear made this patient hate the appearance of her teeth. We worked together to find a treatment plan that would give her a natural-looking, beautiful smile. After she completed a course of Invisalign®, we whitened her teeth and combined that with 6 veneers and 12 crowns. The after photo speaks for itself!





