Invisalign®
Millions of people have used Invisalign® clear aligners to straighten their smile, including our patients!
Smile Gallery
Full Mouth Makeover Gives Perfect Smile
This patient was experiencing several problems and needed a few procedures to achieve the smile she wanted. Years of drinking teeth-staining liquids like coffee, tea, and wine had left her teeth discolored, while crowding had left her teeth chipped and worn. We started with Invisalign® to give more space to an overcrowded smile. Then, we added a few no-metal crowns and veneers to give a more even, youthful appearance to her front teeth. Finally, we whitened the rest of her smile to match. The final result, as you can see, is a smile that really pops!
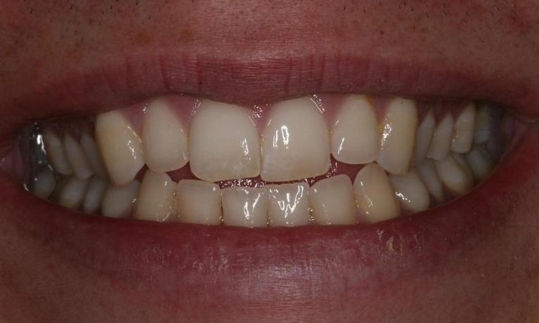
Invisalign® to Fix Crowded Teeth
This patient had crowded, misaligned teeth that were hard to floss and were causing wear. We were able to complete a short round of Invisalign®, followed by polishing the front teeth to give beautiful results. Now this patient can easily brush and floss her teeth, which will help her maintain her smile for years to come!
Fixing a Gummy Smile
When only a portion of your teeth are actually showing, it can give the appearance of a "gummy smile" that many people find unappealing. To correct this, we started with a round of Invisalign® to align her teeth. Next, we used a laser to resculpt the gum tissue, exposing the hidden parts of her front teeth. The after photo shows her smile after just one week of healing!
Repairing Short Teeth
Aggressive wear made this patient hate the appearance of her teeth. We worked together to find a treatment plan that would give her a natural-looking, beautiful smile. After she completed a course of Invisalign®, we whitened her teeth and combined that with 6 veneers and 12 crowns. The after photo speaks for itself!







